[FAQ] [Wiki] [Map] [News] [Donate] | Themes: [Kawa2] [Kawauso] [Rakko]
[Return][Bottom][Catalog]
Posting mode: Reply
Leave these fields empty (spam trap):
Name
Link
Subject
Comment*
File
Verification*
Password (for post and file deletion)
  • * Required field
  • Supported file types are: JPG, PNG, GIF, WEBM, MP4, PDF, MP3.
  • Maximum file size allowed is 32768 KB.
  • Click here to support the site

File: 1652483559067.jpg -(187456 B, 760x872) Thumbnail displayed, click image for full size.
187456 No.2510  

Let's talk about the different shapes of otters' heads. Funny thing I noticed, otters (at least some species) tend to have some kind of ridge down the middle of their heads. Does anybody know why they have this?

>> No.2511  
File: 1652492306108.jpg -(6509 B, 193x261) Thumbnail displayed, click image for full size.
6509

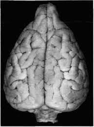
It has to do with how the gyri and sulci of the brain develops in otters, and which parts of the brain are increased in size relative to other animals. My understanding, and take it with a grain of salt because I'm no lutrologist, is that the temporal and parietal lobes of the brain, especially the parietal lobe, are both enlarged to account for otters' enhanced sense of smell and sensory capabilities through their whiskers. I also saw something saying that certain types of otters have very sensitive forelimbs, which would account for even more enlargement of the parietal lobe. The parietal lobe is located on the top sides of the skull, and significant enhancement in its size without similar increases to other sections is likely a major contributor to that groove. Additionally, there's something that can be seen in a picture of a standard river otter brain where it seems like the longitudinal fissure is enlarged in some capacity, but I couldn't explain that if I tried. Essentially, it all comes down to how the brain is shaped, and how the skull will adapt to best form around it to protect the brain of the ott

>> No.2512  

>>2511 Wow, that's fascinating. So their heads are that way because their brains are so big.
How did you learn so much about otter brains anon?

>> No.2516  

>>2512
I will confess, I don’t know this strictly about otter brains. Most of what I said was an extrapolation from knowledge about the structure of how brains work and what the different regions do. I was on track to become a neurosurgeon for some time, but I dropped out of med school before it actually happened, so I’m not overly qualified, but I have some basic understanding of the brain as an organ, and so I just applied that knowledge to an image of an otter brain that I found and information about otter senses that I found online. So, you know, don’t take my word as gospel or anything, it’s more my best guess as to why otter heads are the way that they are.

>> No.2518  

>>2516
Oh, that's still a nice theory though, and it does make sense. Maybe there's another explanation though.
You were studying to become a neurosurgeon? That's really cool, how's life been going since you dropped out? I hope you found your calling.

>> No.2519  

>>2518
I'm glad you think it's reasonable, it's the best explanation that I could come up with for why there'd be a ridge like that in that specific area. And technically, I wasn't studying to be a neurosurgeon, that's just the specialization that I was looking at before I dropped out of med school. But that's neither here nor there, I suppose. Life's been fine since then though, I'm looking at becoming a teacher of some sort, probably teaching English if I can do what I want.

>> No.2901  
File: 1660191611090.jpg -(158545 B, 1601x1601) Thumbnail displayed, click image for full size.
158545

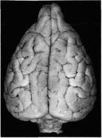
Other carnivores have the same thing going on, I noticed
Dogs have it too, bears have it, raccoons have it, cats maybe to a lesser extent.

>> No.2903  

>>2901
Now I'd really like to know what's going on. Maybe this is just how the frontal/parietal bone grows in carnivores?

>> No.4037  

Found an interesting article on otter intelligence here. It even gives a brief bit on the brain structure
https://inotterwords.com/2019/11/07/life-through-the-eyes-of-an-otter/



[Return][Top][Catalog]
[]